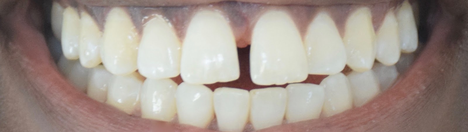
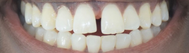
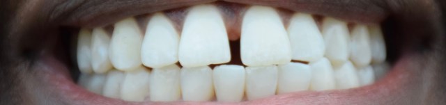
By far the best gift I could get myself for Christmas this year was a brighter, whiter smile. It’s no secret that I’m a coffee fanatic and anyone who knows me knows I have to have my morning Jo before I go. Unfortunately, Jo leaves behind some unwanted stains; I’m talking about coffee stained teeth. It has always seemed so bothersome to me to have to make repeat visits to the dentist for professional teeth whitening treatments, I’m a busy lady, so I was over the top excited to partner with Smile Brilliant and say bye bye to coffee stains with a simple, easy to use at home teeth whitening kit.
My friend suggested I quit coffee if I didn’t want to continue staining my teeth, my response, “Can I please have a Hazelnut iced coffee, tall, breve.” Clearly, I have no intentions on quitting the habit anytime soon, but thankfully the teeth whitening gel removes years of stains and prevents future stains; so I can enjoy my favorite beverage and keep my pearly whites, white.
Bet your wondering how this all works? Well, you have to first prepare your custom fitted teeth whitening trays using the the base and catalyst provided. Once your mold is ready, ship them off to get your trays created. Once you receive your trays, then it’s time to whiten. It’s fairly simple, add a modest strip of the teeth whitening gel to each tray, place them in your mouth and go about your evening; cook, clean or Netflix and chill. For those with sensitive teeth I suggest following up with the tooth desensitizing gel. I have pretty sensitive teeth so it was definitely nice to have the desensitizing gel to follow up with after whitening to alleviate any sensitivity. Have sensitivity? Need some solutions? Click here for all the deets.
Now the proof is in the pudding, and I could literally blog all day about my amazing results, but I’m all about answering questions and providing help to those who just want to know more about my experience with Smile Brilliant or just have additional questions about the process. Perhaps you can share helpful information about your teeth whitening journey too. That being said, I’m giving away one FREE whitening kit (worth $149.00) to the person who asks the most questions and/or sparks the most valuable conversation geared at helping others who are either considering teeth whitening, have whitened or are currently whitening.
*Questions and comments can be left in either the comment box of this post or any post posted through January 2, 2016, 5pm ET.
* Giveaway is open to Canada, Australia, UK, and USA residents
* Free Kit includes: 3 whitening gels, 3 desensitizing gels, or 6 whitening gels
* Please only post questions or comments that encourage or is helpful information about teeth whitening and/or Smile Brilliant.
* Professional Teeth Whitening Giveaway ends January 2, 2016.//www.smilebrilliant.com/widget/b71196
* Want to purchase a kit? Use code coilscurlsandcoffee and get 5% off any Smile Brilliant purchase.
* Winner will be announced Jan 2, 2016
Sincerely,
Deidra Marie


















18 thoughts on “BRIGHTER SMILE WITH SMILE BRILLIANT + A GIVEAWAY”